Ecografía Obstétrica para el Embarazo
Dr. Denis Sánchez, Ginecólogo Obstetra
La ecografía obstétrica ha experimentado avances significativos, ofreciendo modalidades como la Ecografía Tridimensional (3D), Cuatridimensional (4D), y, más recientemente, la 5D. Aunque estas innovaciones proporcionan imágenes detalladas y realistas, es crucial entender su relación complementaria con la ecografía 2D para lograr una evaluación diagnóstica eficaz.
Ecografía 3D, 4D y 5D
La ecografía tridimensional, un avance revolucionario, se combina con la ecografía 2D para mejorar la eficacia diagnóstica, ofreciendo imágenes realistas y añadiendo la dimensión del tiempo para visualizar los movimientos fetales tridimensionalmente.
La ecografía 4D HD Live, también llamada ecografía 5D, es simplemente la ecografía 4D con un procesamiento especial de imagen, logrando un realismo excepcional. Estas modalidades avanzadas proporcionan una visión detallada del desarrollo fetal y contribuyen al diagnóstico temprano de posibles problemas o malformaciones.
Ecografía Hiperrealista
Nuestro servicio de ecografía 8K e hiperrealista utiliza inteligencia artificial para mejorar las imágenes del bebé obtenidas de una ecografía 5D, logrando una nitidez y realismo excepcionales. Realizadas a partir de la semana 25, estas ecografías permiten ver el rostro del bebé con un detalle sorprendente, entregando las imágenes el mismo día.
El Dr. Denis Sánchez, pionero en Quito, ofrece un seguimiento personalizado del embarazo. Nuestro centro transforma ecografías 3D, 4D y 5D en imágenes hiperrealistas, creando una conexión emocional profunda y una experiencia única durante la maternidad y paternidad.
Ecografía Transvaginal
Ofrecemos ecografías transvaginales especializadas, aplicables en las etapas iniciales del embarazo o en cualquier momento de la vida sexual de la paciente. Durante estas fases, la detección de “marcadores ecográficos” por un médico especializado es crucial para descartar posibles anomalías cromosómicas o malformaciones futuras, como cardiopatías congénitas.
Nuestro enfoque integral, respaldado por tecnología avanzada, asegura diagnósticos precisos y atención personalizada en un ambiente cálido y acogedor. Estamos comprometidos con la excelencia clínica y la salud femenina de primera clase.
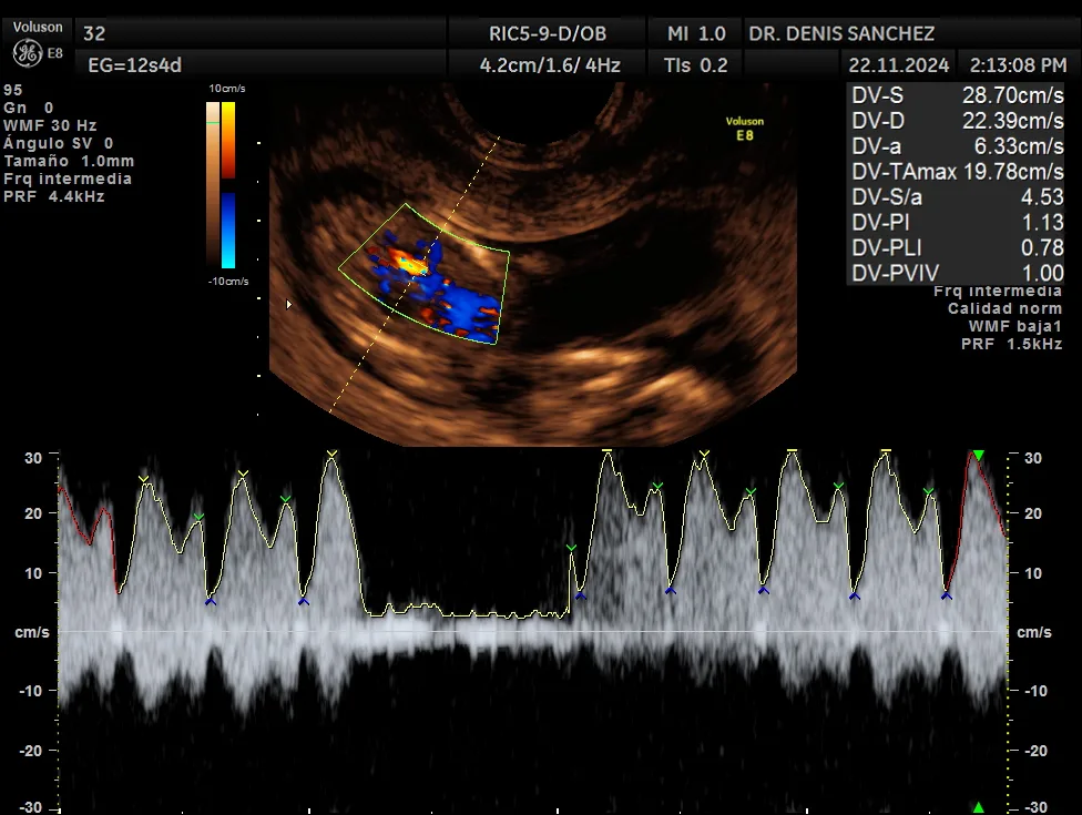
Ecografía Doppler Obstétrica
La técnica especial de ecografía Doppler permite analizar la circulación sanguínea tanto del feto como de la placenta. Esta técnica es especialmente útil en situaciones como hipertensión arterial, diabetes materna, retraso de crecimiento intrauterino y gestaciones generales. La decisión de llevar a cabo este estudio dependerá del ginecólogo responsable de la gestación, quien evaluará su conveniencia de acuerdo con las circunstancias específicas de cada caso.
La ecografía Doppler de la circulación uterina y ovárica se presenta como una técnica complementaria valiosa. Se aplica en el análisis de tumoraciones ováricas y en la investigación de las causas de infertilidad y esterilidad femeninas. Este enfoque avanzado contribuye a una evaluación más completa y precisa en el cuidado de la salud reproductiva.


Ecografía Cromosómica y Anatómica en Quito
La ecografía cromosómica y la ecografía anatómica fetal son estudios fundamentales durante el embarazo, ya que permiten evaluar el desarrollo estructural del bebé y detectar posibles anomalías de forma temprana. En nuestro consultorio en Quito, realizamos estas ecografías con equipos de alta resolución, ofreciendo una valoración detallada del bienestar fetal.
La ecografía cromosómica, también conocida como tamizaje ecográfico del primer trimestre, se realiza entre las semanas 11 y 14. Evalúa marcadores como el pliegue nucal, el hueso nasal y el flujo del ductus venoso, que pueden indicar riesgo de alteraciones cromosómicas como el síndrome de Down.
Por otro lado, la ecografía anatómica se realiza generalmente entre las semanas 18 y 22, y permite observar en detalle los órganos y sistemas del bebé, como el cerebro, corazón, columna vertebral, riñones y extremidades, confirmando un desarrollo normal.
Ambas ecografías son indoloras, seguras y no invasivas, y forman parte del control prenatal avanzado que toda futura mamá debería considerar. Nuestro compromiso es brindar un diagnóstico preciso, acompañado de una atención cálida y profesional.
Agenda tu Ecografía y Conecta con tu Bebé
Detección Precoz de Malformaciones
Las ecografías nos posibilitan la detección temprana de malformaciones fetales. Esta capacidad preventiva nos permite intervenir y planificar tratamientos con antelación, mejorando significativamente los resultados médicos y brindando tranquilidad a los futuros padres.
Descubre la Emoción de Conocer a Tu Bebé
Crea recuerdos inolvidables al conocer a tu bebé antes de su llegada. Aprovecha esta oportunidad para establecer un vínculo temprano con tu pequeño. Disfruta de una experiencia única y emocionante durante tu embarazo.
Agenda tu Ecografía y Conecta con tu Bebé
Preguntas frecuentes sobre Ecografía Obstétrica
¿Qué tipos de ecografías obstétricas existen?
Entre las principales están la ecografía 2D, 3D, 4D, 5D, doppler, cromosómica, morfológica y transvaginal. Cada una cumple funciones diagnósticas específicas según la etapa del embarazo.
¿En qué semana se realiza la ecografía cromosómica?
Se realiza entre las semanas 11 y 14 del embarazo para evaluar marcadores como el pliegue nucal, hueso nasal y ductus venoso, ayudando a estimar el riesgo de alteraciones cromosómicas.
¿Cuál es la diferencia entre ecografía anatómica y cromosómica?
La ecografía cromosómica evalúa marcadores de riesgo genético en el primer trimestre. La anatómica (o morfológica) se realiza entre semanas 18-22 y analiza detalladamente órganos y estructuras del bebé.
¿Qué es la ecografía doppler obstétrica?
Es una técnica avanzada que evalúa el flujo sanguíneo del feto y la placenta. Se usa en casos como hipertensión, diabetes, restricción de crecimiento o embarazos de alto riesgo.
¿Qué es la ecografía transvaginal y cuándo se indica?
Es una ecografía que se realiza introduciendo una sonda por la vagina. Es útil en etapas tempranas del embarazo y para estudiar el útero, cuello uterino y ovarios con mayor precisión.
¿La ecografía 5D es solo emocional o también diagnóstica?
Aunque aporta una experiencia visual única, también mejora la detección de malformaciones gracias a su nitidez y realismo. Es un complemento útil, pero no reemplaza los controles médicos estándar.




